
Before & Afters
Real Patient Transformations
Changing Lives, One Smile At A Time
Many patients step into our practice with dreams of a brand new grin. Others are looking to repair damage and get their oral health back on track. Seeing these individuals walk out of our doors with a strong smile and newfound confidence is the reason behind our mission here at Neomar Family and Implant Dentistry. No matter your goals, we’re honored to be a part of your oral health journey. Take a look at our Before & After gallery to explore real patient stories!


Minimally invasive procedures
Veneers and crowns used for cosmetic case


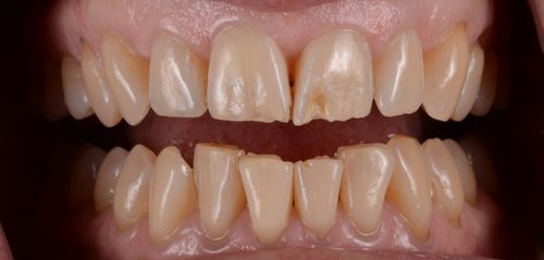
Smile Makeover
Veneers and crowns used for a stunning cosmetic case.


Natural-looking dental crowns.

-p-500.jpg)
Minimally Invasive procedure, big changes
Composite fillings used


Minimally invasive procedures, big changes.
-p-500.jpg)

Minimally invasive restorations
before
-p-500.jpg)
after

Minimally Invasive procedure, big changes
Composite fillings used
before

after
-p-500.jpg)
Minimally invasive restorations
before

after

Minimally invasive procedures, big changes.
before

after

Natural-looking dental crowns.
before

after

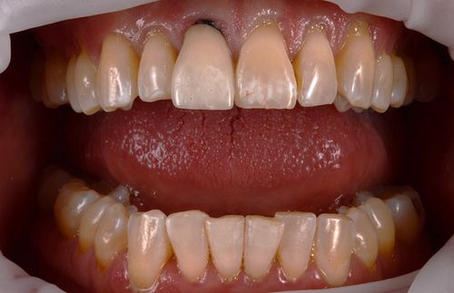
Smile makeover
Veneers and crowns used for a stunning cosmetic case.
before

after

Smile Makeover
Veneers and crowns used for a stunning cosmetic case.


